T1 sagittals pre-gad















































T1 sagittals pre-gad

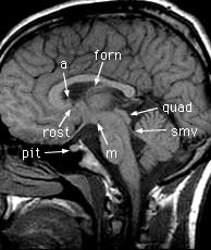
Findings: Nodule (a) in the inferior left lateral ventricle above the rostrum (rost) of the corpus callosum. Pituitary gland (pit). Mamillary body (m). Body of the fornix (forn). Quadrigeminal plate (quad). Superior medullary velum (smv).