T1 sagittals post gad
Findings
History
[
T1 cor pre
||
T2 cor
||
T1 cor post
||
CXR
]
DDx
Dx
[
Table of Contents
||
Next Unknown
]
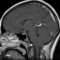
T1 sagittals post gad
Findings:
Enhancement and thickening of the inferior hypothalamus and pituitary infundibulum (arrow).
History
[
T1 cor pre
||
T2 cor
||
T1 cor post
||
CXR
]
DDx
Dx
[
Table of Contents
||
Next Unknown
]