T1 coronals post gad
Start of case
Findings
History
[
CT
||
T1 sag pre
||
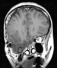
T1 cor pre
||
T2 ax
||
T1 cor post
||
Angio
]
DDx
Dx
[
Table of Contents
||
Next Unknown
]
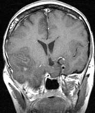
T1 coronals post gad
Findings:
Herniation of the right temporal lobe into the infratemporal fossa with no abnormal enhancement. A few scattered foci of increased signal unchanged compared to pre-gad coronals.
Start of case
History
[
CT
||
T1 sag pre
||
T1 cor pre
||
T2 ax
||
T1 cor post
||
Angio
]
DDx
Dx
[
Table of Contents
||
Next Unknown
]