T1 pre-gad T2 MRA

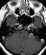
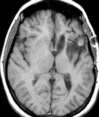
Diagnosis: Aneurysm of the left cavernous internal carotid artery.

Cavernous sinus ICA aneurysms are more common in women and typically present over the age of 50. They may cause palsies of cranial nerves 3, 4, 6, as well as the first and second divisions of the trigeminal nerve since these nerves lie within the cavernous sinus. A variable amount of thrombosis may be present. In this case, the aneurysm is most likely partially thrombosed due to the complex, layered signal. The presence of the phase encoding artifact proves that there is at least some flow. Related Cases













































ICA aneurysm MCA aneurysm AICA aneurysm