T1 sagittals pre-gad
Start of case
Findings
History
[
T1 sag pre
||
T2 ax
||
MRA ax
||
MRA MIPS
||
MRA cine
]
DDx
Dx
[
Table of Contents
||
Next Unknown
]
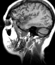
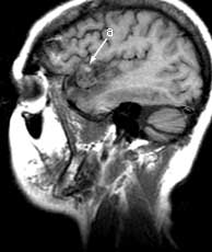
T1 sagittals pre-gad
Findings:
Mixed signal mass (a) in the left Sylvian fissure with surrounding low signal encephalomalacia.
Start of case
History
[
T1 sag pre
||
T2 ax
||
MRA ax
||
MRA MIPS
||
MRA cine
]
DDx
Dx
[
Table of Contents
||
Next Unknown
]