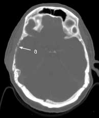
Axial CT bone windows
Start of case
Findings
History
[
CT ax BW
]
DDx
Dx
[
Table of Contents
||
Next Unknown
]
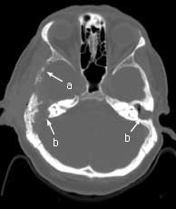
Axial CT bone windows
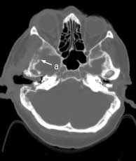
Findings:
Extensive, permeative destruction involving the squamous portion of the right temporal bone (a). Post-op bilateral mastoidectomies (b).
Start of case
History
[
CT ax BW
]
DDx
Dx
[
Table of Contents
||
Next Unknown
]