T1 post-gad
Differential Diagnosis:
Glomus jugulare tumor
Chondrosarcoma
Plasmacytoma
Metastasis
Start of case
History
[
T1 cor pre
||
PDW SE ax
||
T2 SE ax
||
T2 FSE ax
||
T1 ax post
||
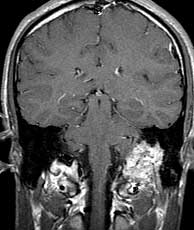
T1 cor post
||
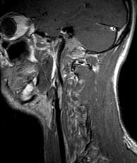
T1 sag post
]
Dx
[
Table of Contents
||
Next Unknown
]