T1 axials pre gad
Start of case
Findings
History
[
T1 ax pre
||
PDW & T2 ax
]
DDx
Dx
[
Table of Contents
||
Next Unknown
]
T1 axials pre gad
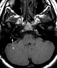
Findings:
Negative. The right labyrinth is normal pre-gad.
Start of case
History
[
T1 ax pre
||
PDW & T2 ax
]
DDx
Dx
[
Table of Contents
||
Next Unknown
]