T1 coronals pre-gad














































T1 coronals pre-gad

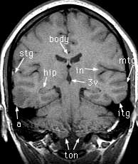
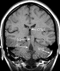
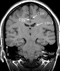
Findings: Focus of low signal in the cortex of the right middle and inferior temporal gyri (a). Cerebral aqueduct (aq) leading from the 3rd (3v) to the 4th (4v) ventricle. Crus of the fornix (crus). Flow enhancement in the sigmoid sinus (sig). Superior (stg), middle (mtg) and inferior (itg) temporal gyri. Hippocampus (hip). Body of the corpus callosum (body). Insula (in). Cerebellar tonsils (ton). Cingulate gyrus (cgy) and sulcus (csu). Body of the caudate nucleus (caud). Horizontal fissure (hor).