T2 coronals
Start of case
Findings
History
[
T1 cor pre
||
T2 cor
||
T1 cor post
||
CXR
]
DDx
Dx
[
Table of Contents
||
Next Unknown
]
T2 coronals
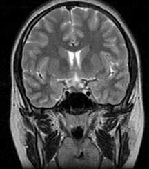
Findings:
Subtle thickening of the pituitary infundibulum (arrow).
Start of case
History
[
T1 cor pre
||
T2 cor
||
T1 cor post
||
CXR
]
DDx
Dx
[
Table of Contents
||
Next Unknown
]