CT scout
Findings
History
[
CT pre-contrast
||
L vert angiogram
]
DDx
Dx
[
Table of Contents
||
Next Unknown
]
CT scout
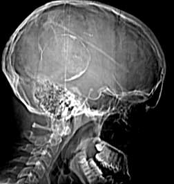
Findings:
Round, peripherally calcified lesion (a) at the posterior aspect of the skull. Shunt tube in place (b).
History
[
CT pre-contrast
||
L vert angiogram
]
DDx
Dx
[
Table of Contents
||
Next Unknown
]