CT scout CT pre-contrast L vert lat angio

Diagnosis: Vein of Galen malformation

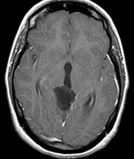
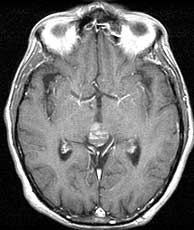
The VOG is the confluence of the basal vein of Rosenthal and the internal cerebral veins. It joins the inferior sagittal sinus to form the straight sinus. The vein of Galen malformation (aneurysm is a misnomer) is an abnormal developmental connection between the VOG and any of the following arteries; anterior cerebrals, anterior and posterior choroidals, lenticulostriates and thalamoperforators. It often presents in the neonatal period with CHF, cranial bruit or seizures. Treatment consists of endovascular embolization and/or surgery. The differential for this case without the angiogram is limited. Perhaps a huge calcified arterial aneurysm or pineal cyst could resemble this. A calcifying pineal region tumor is very unlikely due to the peripheral nature of the calcification. The angio however nails the diagnosis. Related Cases















































Pineal teratoma Pineal epidermoid Pineal cyst