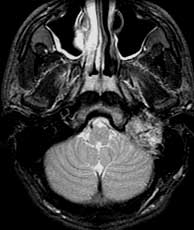
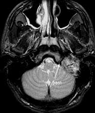
T2 SE axials














































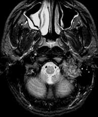
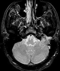
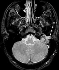
T2 SE axials

Findings: Mostly bright signal mass in the left medial skull base which abuts the basiocciput (basi) and invades the left external auditory canal (eac). The mass has several linear and curvilinear foci of decreased signal within.